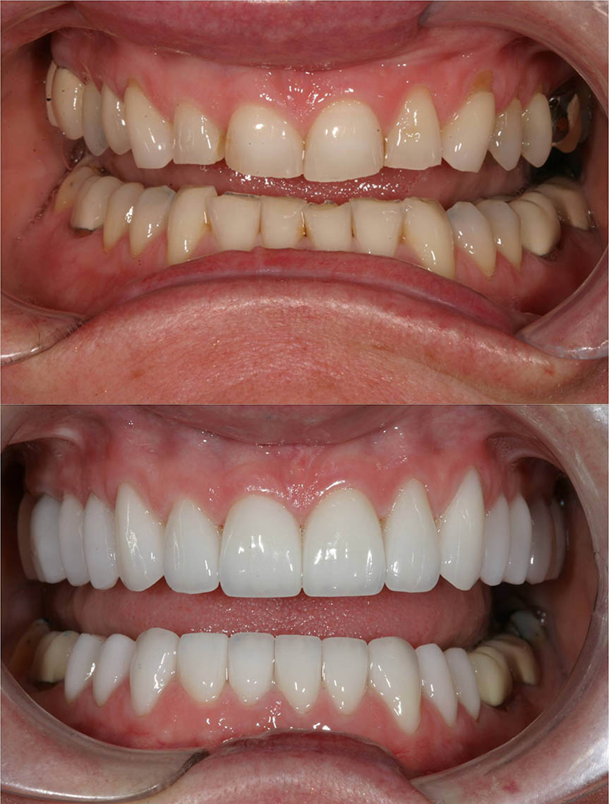
At Smiles By Jiveh, our experienced dentist and dental team have been providing people in Palm Beach County with quality dental care since 1997. In addition to offering many general and cosmetic dentistry treatments, our team also provides award-winning reconstructive dentistry in Wellington and Royal Palm Beach, FL. We offer full-mouth reconstruction and worn teeth rehabilitation to help you achieve your most confident smile that can last a lifetime.
Award-Winning Dental Care Backed by a Satisfaction Guarantee
All our treatments are backed by a Satisfaction Guarantee as long as you follow our dentist’s aftercare recommendations. If you are unhappy with the care you receive from our experienced team, simply let us know and we’ll do what it takes to make it right – that’s our promise to you!
Smile Confidently Again with Reconstructive Dentistry in Wellington & Royal Palm Beach, FL
To experience our award-winning reconstructive dental care, schedule your Restorative Dentistry Consultation today.

